考慮到人心的複雜性,請嘗試研究其解剖結構。心臟是一個重要的器官,具有四個開口的重要開口,在右大廳裡有一個稱為Crista碼頭的結構。此功能是在走廊分開的山脊,分為一個複雜的網絡。儘管重要的是,它的大小和外觀可能會有所不同,從而引起醫療攝影可能發生的混亂。有趣的是,大約有40%的Crista終端的人清楚地看到了女性的事件。這種解剖學細節通常會導致重大解釋,尤其是在復雜的攝影技術中。
由Busra Cangut博士和紐約伊坎醫學院的學生團隊Lewen Stemppler和Aiden Ghesani領導的教育,強調需要識別正常的吸收,而在心臟中並不危險。研究結果發表在一位朋友檢查的期刊上。 “報告放射學案例”,即診斷不正確的風險和醫學攝影精確解釋的重要作用。
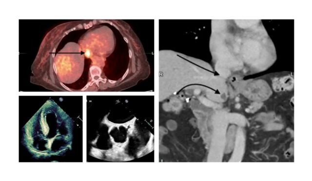
Busra Cangut博士的細節“ 18F-FDG掃描(類型的葡萄糖放射性)PET/CT可以確定癌症的階段,顯示出右走廊的嚴重活性,類似於傑出的組織。”她的癌症評估中的一部分揭示了她的右大廳的重要活動。出乎意料的是,最初引入了可能的危險質量。這種相關的觀察結果導致了深度評估,這解釋了它是一個獨特的crista末端,這是心跳結構的一般變化。
“ crista末端位於Etrium的右側,沿著兩個重要靜脈(Vena Cava)之間的側壁延伸,這比Crista末端中的某些正常F-18 FDG活動不如一些。在該腫瘤的分析中可以異常指定它可能會表現出對癌症的疾病的疾病,這可能是對癌症的疾病的差異,這一點是對癌症的範圍。標準心跳結構的生理吸收和有毒變化,以防止錯誤的解釋。
這一發現對醫學專家非常重要。他們強調需要仔細檢查並通過考慮柔和的變化來解釋攝影結果。這種看法可以減輕患者和醫生的不健康煩惱。防止其他不必要的攝影程序以及適當的適當護理保證。總而言之,這項研究提醒了醫學攝影中的複雜性和微妙之處。它強調需要進行徹底檢查以解釋掃描以區分有害和無害的發現。該案例通過強調需要在診斷時考慮正常心臟的改變,證明了“不是金在黃金中閃耀的一切”的說法。
參考期刊
艾登·蓋薩尼(Aiden Ghesani),busra cangut,劉易斯板珀勒(Lewen Stemppler),“沒有什麼光就是在FDG寵物上的crista末端中的黃金吸收:CT被偽裝成右心附近的腫瘤。” https://doi.org/10.1016/j.radcr.2023.10.068–
作曲家
Busra Cangut博士通過醫學教育和研究旅行是多種多樣的。她獲得了伊斯坦布爾 – 馬拉大學醫學院的醫學學位。在一所醫學院期間,她在著名機構擔任店員,包括哈佛·克利夫蘭,診所以及德克薩斯大學和心臟手術。醫學院畢業後,她加入了梅奧診所的心臟手術部門,擔任博士後研究員,她專門研究基礎科學研究,重點介紹了微生物中的老鼠形式。高級動脈粥樣硬化。之後,在她的博士學位約會期間,她參與了一個比較診所實驗。不同血管的生物植物
她的學術活動繼續獲得梅奧診所臨床和翻譯科學以及一般實習的碩士學位。目前的坎古特博士位於西奈山/紐約醫院,她深入參與了適合特定瓣膜疾病的心跳技術的發展。她的工作涵蓋了心臟外科手術的許多方面以及基礎科學,臨床專業知識和輻射攝影的結合,以使該領域的理解。
Cangut博士的研究興趣集中在現代心跳技術上,尤其是針對特定瓣膜疾病的PET/MRI應用調查。她還獲得了ERAS心臟獎學金獎,該獎項致力於增加心臟手術患者的手術護理。她正在積極開髮指揮套裝,以根據手術護理保護使用廣泛的證據來促進該手術,其最高目標是改善患者的結果。從學校的學術卓越表現中獲得了驅動力。坎古特希望成為一名心臟外科醫生。她的願景涉及利用心跳攝影來手術計劃和對疾病疾病的理解以及通過先進的攝影技術對心臟的影響。










